Suscríbete a nuestro boletín

¡Éxito! Revisa tu correo

Para completar la suscripción, haz clic en el enlace de confirmación en tu bandeja de entrada. Si no lo recibes en 3 minutos, revisa tu carpeta de correo no deseado.

Vale, gracias
Influencer pensó que tenía cólicos y murió por un absceso ovárico

Influencer pensó que tenía cólicos y murió por un absceso ovárico

Resumen

Laleska Alexandre, influencer de moda, falleció por un absceso ovárico en Brasil. Inicialmente diagnosticada con cólicos menstruales, su caso destaca la importancia de reconocer y tratar a tiempo infecciones como la enfermedad inflamatoria pélvica (EIP).

Generado por Inteliegenica Artifical (OpenAI)
Wendy López profile image
by Wendy López

Laleska Alexandre, una joven diseñadora de moda e influencer digital de 28 años, falleció en Juazeiro do Norte, Ceará, Brasil, tras enfrentar complicaciones por un absceso ovárico. La influencer, conocida por compartir contenido sobre moda y estilo de vida con más de 25 mil seguidores en sus redes sociales, había estado sufriendo de fuertes dolores abdominales que inicialmente atribuyó a cólicos menstruales. Sin embargo, lo que parecía ser una molestia común resultó ser una grave infección en su sistema reproductivo.

El pasado miércoles, Laleska fue trasladada al Hospital Regional de Cariri después de experimentar un dolor intenso, pero lamentablemente perdió la vida poco después de su llegada. El equipo de la joven confirmó que ella había recibido tratamiento por cólicos sin saber que estaba enfrentando una afección mucho más seria.

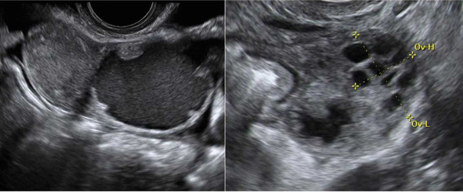
Un absceso tubo-ovárico (AOT) es una infección pélvica grave que puede afectar tanto a las trompas de Falopio como a los ovarios. Esta condición, que generalmente se origina por la propagación de bacterias desde la vagina o el cuello uterino, es comúnmente asociada con la enfermedad inflamatoria pélvica (EIP). Si no se trata a tiempo, puede generar complicaciones severas. Los síntomas incluyen dolor abdominal intenso, fiebre, alteraciones en el ciclo menstrual y flujo vaginal anormal.

En la mayoría de los casos, el tratamiento inicial consiste en antibióticos, pero cuando la infección avanza, se requiere drenaje o incluso cirugía. La rapidez con la que se busque atención médica es crucial para evitar consecuencias fatales, como lo demuestra el trágico caso de Laleska.

El fallecimiento de la influencer ha dejado consternados a sus seguidores y a la comunidad en general, quienes han expresado su dolor y condolencias a través de redes sociales. La historia de Laleska pone en evidencia la importancia de estar alerta a los síntomas del cuerpo y buscar atención médica ante cualquier signo inusual, incluso si parecen simples molestias.


La importancia de la detección temprana

El caso de Laleska resalta la necesidad de que las personas reconozcan la gravedad de ciertos síntomas y no los subestimen. Muchas enfermedades, como el absceso tubo-ovárico, pueden ser tratadas con mayor éxito si se detectan en sus primeras etapas. Es fundamental que las personas, especialmente las mujeres, se sometan a chequeos periódicos y consulten a profesionales de salud ante cualquier malestar persistente.

Wendy López profile image
por Wendy López

Subscribe to New Posts

Lorem ultrices malesuada sapien amet pulvinar quis. Feugiat etiam ullamcorper pharetra vitae nibh enim vel.

¡Éxito! Revisa tu correo

To complete Subscribe, click the confirmation link in your inbox. If it doesn’t arrive within 3 minutes, check your spam folder.

Vale, gracias

Leer más